ТОП 4 средства для удаления зубного налета и зу...
Индексы для оценки гигиенического состояния пол...
Удаление зубного налета
Отбеливающий гель-сыворотка удаляет пятна от на...
Зубной налет | Стоматология Митино
Узбекский стоматолог рассказал, как избавиться ...
Индикатор зубного налета купить в Санкт-Петербу...
BREYLEE зубы отбеливающий порошок зубной пасты ...
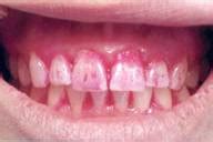
Красители для выявления зубного налета.
Презентация на тему: "Гигиена полости рта. Инде...
Чистка налета и зубного камня - Стоматология DA...
Набор MySmile для отбеливания зубов. Полоски - ...
Отбеливающие полоски для зубов 5D White средств...
6 шт., черные блестящие голографические наклейк...
Юлия Селютина | Как выглядит индикатор зубного ...
14 пар отбеливающих полосок для зубов, наклейки...
Гигиена полости рта. Индексы гигиены - презента...
Определение состояния гигиены полости рта у пац...
Перо для отбеливания зубов, сыворотка для удале...
СРЕДСТВА ДЛЯ ИНДИКАЦИИ ЗУБНОГО НАЛЕТА - Ополаск...
Зубной налет: как определить, как удалить в дом...
Черный Налет На Зубах Фото — Nyafoto.ru
Профессиональный Отбеливание зубов комплект 4 г...
Ополаскиватель для выявления зубного налета Mir...