Connection Cable: 16.4ft/5m, M8 axial female to...
ct8 - DocCheck
CT1C08 – Vicedeal
CCT8 Antibody (NBP1-88285): Novus Biologicals
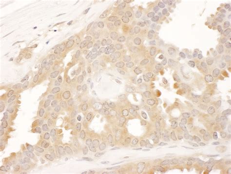
CCT8 antibody (12263-1-AP) | Proteintech
CCT8 antibody (CL488-67539) | Proteintech
The role of CCT8 in thymocytes a CCT8 protein d...
RT-C08-L0-BJ Legion | C18221881 - LCSC Electronics
CCT8 expression in pan-cancer molecular subtype...
CCT8 Gene - GeneCards | TCPQ Protein | TCPQ Ant...
c08
CCT8 antibody (67539-1-Ig) | Proteintech
Connection Cable: 16.4ft/5m, M8 right-angle fem...
CRT1-ID08-1 | OMRON, UK
CCT8 promotes cell migration and tumor metastas...
RCSB PDB - 8SC1: Human OCT1 (Apo) in inward-ope...
Functional characterization of human CTC1 mutat...
CCT8 Antibody (A303-448A)
Somatic increase of CCT8 mimics proteostasis of...
Subcellular - CCT8 - The Human Protein Atlas
A) The gene model for the longest isoform of cc...
Volume 14, Issue 17 - jca
Effect of CTC1 OB-fold deletions on CST complex...
CTC S08-C-BY2 – BY8828781 – EF – CTC Collector
CT01_365084.PDF Datasheet Download --- IC-ON-LINE