Гистология в схемах и таблицах #гиста 1. «Нагля...
Кащенко С.А., Бобрышева И.В. - Гистология, цито...
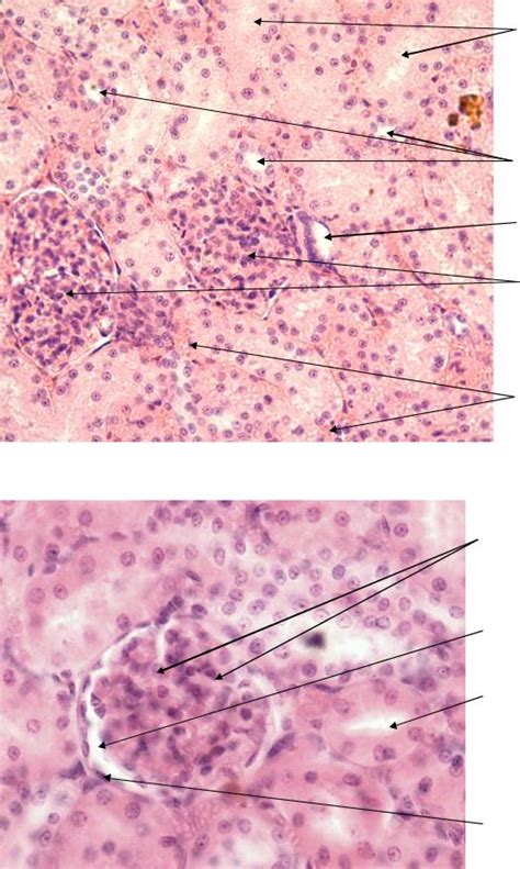
Препараты гистология 1 - Стр 2
Пособие Гистология. МОДУЛЬ 5, МПС - Стр 2
Общая гистология. Основные типы тканей. Строени...
Наглядная гистология | MedBook.ru
Гистология - Медицинский колледж №1
Кафедры
Кузнецов Мушкамбаров Гистология Цитология И Эмб...
Альбом для практических занятий по гистологии
Histology atlas
Учебник по гистологии
Частная гистология (учение о тканевом строении,...
-= Кузнецов С.Л., Мушкамбаров Н.Н. Гистология, ...
Гистология, эмбриология, цитология
Книга: Гистология, цитология и эмбриология. Атл...
Гістероскопія у Миколаєві
Гистология, цитология и эмбриология | MedBook.ru
Гистология-1 | PDF
Гистология
Гистология, цитология и эмбриология С. Л. Кузне...
Histopathology | Bombay Hospital
“Эндоскопик хирургиянинг долзарб муаммолари” – ...
Гистологи | PDF
Гистология_альбом - Notability Gallery
Кузнецов Гистология Учебник Читать - letterfly