Острый гематогенный остеомиелит: атлас фотографий
Остеомиелит. Клиника и лечение
Остеосаркома. Эпидемиология остеосаркомы - през...
Остеомиелит. Лечение и диагностика - презентаци...
Остеотом із стопером (набір) | TexMed
Межвузовский медико-физический центр
27.3. ОСТЕОБЛАСТОМА
Лечение остеоид-остеомы кости в Германии — Симп...
Медицина: Остеопороз Германия | Команда Uehat.c...
Остеопатия в Харькове: Как и Зачем проходить пр...
остеоид-остеома остеобластома мелкоклеточная ос...
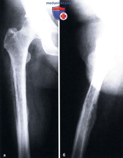
Остеоид остеома? | Портал радиологов
Остеомиелит - презентация онлайн
Остеомиелит. Острый гематогенный остеомиелит - ...
остеома - YouTube
Остеопат в Киеве Оздоровчий центр "Модест"
Остеопро - YouTube
Остеотом | это... Что такое Остеотом?
Що е то... - Център по остеопороза и остеометрия
Остеопороз. Остеоденситометрия - презентация он...
Ортодонтичні ґвинти (мікроімпланти) OSSTEM - Yo...
ОСТЕОМИЕЛИТ - YouTube
Остеома: как проходит лечение
Острый гематогенный остеомиелит - online presen...
Остеомиелит или остеоид остеома? | Портал радио...
Остеомиелит. Лечение и диагностика - online pre...
Европейский Остеопатический Центр | Основан в 1...